干货丨未来已来-数字化正畸的优势与实现
本次上海CDS展卡瓦大讲堂
倍康美有幸邀请北京瑞泰王敏老师
发表主题演讲
《远见已见,未来已来—
—数字化正畸的优势与实现》

王敏老师通过对病例的分析,为大家讲解了数字化正畸为门诊和医生带来的种种优势,以及奥世美®是如何实现数字化正畸的。
01可视化诊疗方案
奥世美®在专属的牙e云®线上平台设立了口腔体检系统。医生可以为初诊的客户进行全面的口腔检查,包括牙列状态、牙颌检查、面颌检查等,最后也可在报告后方写入治疗建议,治疗前的模拟排牙动画和“以终为始”的诊断方案可以更好打消患者心中顾虑。
|
|
|
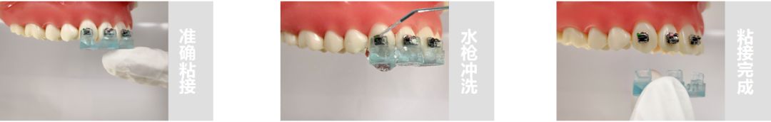
02 操作简便,快速粘接
奥世美采用3D打印定位器辅助托槽准确定位
将粘接化繁为简,25min即可完成,王敏老师表示,如门诊有三个团队,每小时即可接诊6个患者,大大提高了门诊接诊效率。

03底板补偿准确可控,为矫治结果保驾护航
底板补偿投射于临床上用于表达转矩和扭转,能够有效的减少托槽定位的次数,减轻医生弓丝弯制的负担。使用奥世美®后,减少了各位医生在弓丝上弯第三序列曲,只需要根据奥世美®提供的虚拟弓形图进行弓形的弯制即可。这样既能降低医生的工作负荷量,缩短正畸治疗周期,也能保证治疗结果的可控性。

04一键分享矫治动态 增强患者矫治信息
王敏老师表示,对医生来讲,奥世美®通过牙e云®系统生成的3D动画视频,可直接通过微信分享给患者,直接远程完成二次医患沟通,不占用椅旁时间,同时也减少了患者的来医院的次数,患者还可以更直观的看见通过计算机软件精确计算的诊疗计划。

05医技线上沟通,响应及时
倍康美通过牙e云®系统,与医生进行线上病例沟通,技师回复及时,并可以通过手机操作,方便快捷,更让人省心信任。

06 病历管理
王敏老师提到,作为正畸医生,保留患者病例信息必不可少,但是存储方式让人不由得担心,硬盘、网盘、电脑等都有安全隐患,倍康美开发的病例管理系统,恰好解决了这个问题,可实现单个患者的治疗监控以及病例记录,可随时添加复诊信息,并可保留记录,方便后期随时查看。

最后,王敏老师表示,若干年前,CBCT等影像设备的功能,已经让人看见了数字化为牙科带来的优势,如今,奥世美®的服务、沟通、诊疗计划等一系列流程都能通过数字化来的实现,更庆幸的是,他赶上了这个时代,跟随当下数字化的发展,在未来的日子里,希望通过数字化,做出更多更好的病例。

感谢王敏老师的精彩演讲,增加了我们对数字化正畸的认知,倍康美也坚信数字化将为未来牙科带来巨大改变,并坚持用数字化为牙科行业赋能,与各位牙医共同发展进步。





